+918048030940

SIGMASPINEANDPAINCLINIC https://www.nonsurgicalpaintreatment.com
Preview

This is your website preview.

Currently it only shows your basic business info. Start adding relevant business details such as description, images and products or services to gain your customers attention by using Boost 360 android app / iOS App / web portal.

919168877943

When to See a Spine Specialist for Back Pain? Back...

Understanding Neck Pain: Common Causes and How to ...

SLAP Tear: Understanding Your Shoulder Pain and a ...

When to Consider an MRI for Back Pain: A Guide for...

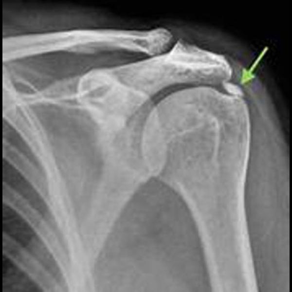
Calcification of the Supraspinatus Tendon: Cause o...

Back pain is a common issue among IT professionals...

Patient Guide: Lumbar Sympathetic Block By Dr. Pri...

Calf Muscle Pain – When Should You See a Pain Specialist? Calf muscle pain is a very common complain...

services