Thank you for writing to us. One of our executive will reach back to you through your submitted medium. In case there’s an urgency, feel free to connect over WhatsApp for faster response.
Prefer calling? Dial +9108048030940 (International callers) or 08048030940 (Indian callers).
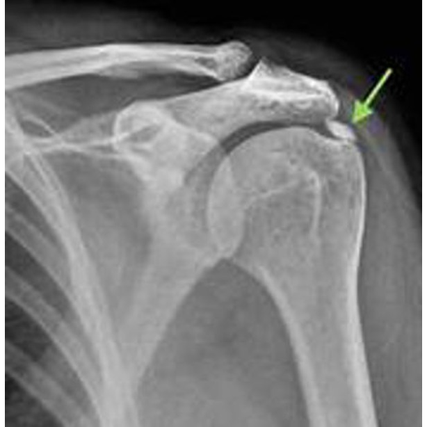
Calcification of the Supraspinatus Tendon: Cause o...
Calcification of the Supraspinatus Tendon: Cause of Pain or Incidental Finding?
By Dr. Priya Rathi, Pain and Spine Specialist, Pune
Calcification of the supraspinatus tendon is a common finding on imaging studies, especially in individuals with shoulder discomfort. However, it's important to understand that not all calcifications are painful. In many cases, these are incidental findings that may not be the true source of the patient's pain.
The actual pain often stems from surrounding muscle spasms, inflammation, or mechanical dysfunction in the rotator cuff and shoulder joint. Misidentifying the source of pain can lead to unnecessary interventions and prolonged discomfort.
Ultrasound-guided dry needling is a precise and effective treatment for such cases. By targeting trigger points and relieving muscle spasms under real-time imaging, this technique helps reduce pain, improve mobility, and restore function without the need for medication or surgery.
Dr. Priya Rathi, a renowned expert in ultrasound-guided dry needling in Pune, has successfully treated numerous patients with shoulder pain attributed to muscular causes rather than just imaging abnormalities.
If you're struggling with persistent shoulder pain, a comprehensive evaluation by a pain specialist can help determine the true cause—and the right treatment.
Sancheti Hospital, 1st floor, Thube Park, 11/12, Narveer Tanaji Wadi, Shivajinagar, Pune 411005 ||| Mobile-09168877943
411007
Pune
India
08048030940
Pain and Spine Specialist Pune
https://www.nonsurgicalpaintreatment.com
1
True
False
Best Radiofrequency Ablation Treatment in Pune
Best Tail Bone Pain Treatment in Pune
Non-Surgical, Drug-Free Relief for Tennis Elbow in Pune
Best Knee Pain Specialist in Pune
Best Neck Pain Specialist in Pune
Best Shoulder Pain treatment in Pune
Nonsurgical Back Pain/Neck Pain Treatment Doctor in Pune
Nonsurgical Joint Pain Treatment Doctor in Pune
Nonsurgical Treatment of Sciatica Clinic in Pune
Nonsurgical Treatment of Carpal Tunnel Syndrome Clinic in Pune
Heel Pain Treatment Clinic in Pune
Postherpetic Neuralgia Treatment Clinic in Pune
Post Spine Surgery Pain Treatment Clinic in Pune
Nonsurgical Treatment of Trigeminal Neuralgia Clinic in Pune
Noncardiac Chest Pain Treatment Clinic in Pune
Perineal Pain Treatment Clinic in Pune
General Consultation
6425ac6ead1d5947a659e36d ,
Book Appointment
Fee Rs 400
In-clinic
Video Call
August 2023
Sun
Mon
Tue
Wed
Thu
Fri
Sat
Request Appointment
By clicking on ‘Send Request’, you choose to agree to our Terms & Conditions.
Slot Selected
06:00 PM - 06:30 PM
Holistic Package
Appointment Fee: INR 200INR 500
By clicking on ‘Send Request’, you choose to agree to our Terms & Conditions.